خبريـــة
خبريـــة
مبروك عليكم التجمع

بالتوفيق ان شاء الله :)
دنيا الأشواق
دنيا الأشواق
بنات بليز واش الفرق بين التقويم المتحرك السلك وبين العادي وايت اسرع وهل السلك يبان واللي يحفظكم ساعدوووووووووووووووونيييي ابدعيلها اللي ترد علي بالتفصيل
بنات بليز واش الفرق بين التقويم المتحرك السلك وبين العادي وايت اسرع وهل السلك يبان واللي...
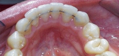
السلك من ورا الأسنان يثبته لك ما يبان وهذي صورته

والمتحرك هذي صورته

والمتحرك الانفزلاين هذي صورته

وكلهم نفس المدة
واذا التزمتي فيهم بتطلع نفس النتيجة
اما اذا اهملتي راح تخرب اسنانك
واذا تحسين نفسك من النوع اللي ما يلتزم ركبي السلك
واذ1 انتي من النوع المنظم ووكذا ركبي المتحرك عادي
روزا الأولى
روزا الأولى
سلاامم بناتت��
بناااتتت انا نفسي اركب تقويم بسس خايفة تنصحوني بهه وش هي البدايات مع الدكتور او الدكتوره يالييت تقولولي
وشش احسسن مستشفى في الطائف او الحويةة واسم الدكتور او الدكتورهه ؟؟!
ياااااااااليت تردوون محححد يسححب ����
كنز الحنان
كنز الحنان
بنات انا حط لي الدكتور حديده بسقف الحلق مرة مضايقتني

ولا اقدر اكل شي كل شي يلصق فيها

ولا ادري كيف تتنظف
قريبه مرة لهالصورة بس مو نفسه



ماامداني اساله هل هذا بيجلس فيني طول السنتين

ولا وش فايدته

الي عندها فكرة عنه تعلمني
دنيا الأشواق
دنيا الأشواق
سلاامم بناتت�� بناااتتت انا نفسي اركب تقويم بسس خايفة تنصحوني بهه وش هي البدايات مع الدكتور او الدكتوره يالييت تقولولي وشش احسسن مستشفى في الطائف او الحويةة واسم الدكتور او الدكتورهه ؟؟! ياااااااااليت تردوون محححد يسححب ����
سلاامم بناتت�� بناااتتت انا نفسي اركب تقويم بسس خايفة تنصحوني بهه وش هي...
والله ودي افيدك لكني للأسف مو من الطايف
لكن عندي كل ششي بالتفصيل الممل هع
بالبداية أول موعد يركب لك آلمطآط آلآزرق
يركبهم آخر شي بين اخر ضرسسين
لآ تخآفين مآ تألم مررة ، بس آنهآآ آآلم ششي في آآلتقويم ، بسس آآلمهآ ضعيف
آآلمهم
ويعطيك موعد بعدهآآ للتركيب
وبموعد آآلتركيب
رآآح آول شي يحط لك ذيك آآللي توسسع آآلفم
وبعدين يسوي تنظيف سسريع
ويفك آلمطآط ويركب آلقوآعد مآ يعور لآآ تخآآفين
وبعدين يبدآآ يغري آلبرآكيتس
زي آلتغرية آآلعآإدية مآ تعور
وبعدين يحط لكك عليهآ ليززر عششآن تثبت
وبعدين يجيب آلسلك
ويجيب لكك عللبة آلآآإلوآإن
تختآإري لون
ويحطط آإلسسلك ويثبته بآلمطآطآت
وبث
وبموعد الشد بآلبدآية يفك آلمطآطآت بذيك آلحديدة مآآ تعور
وبعدين يطلع (السلك-الواير-السيم) ويقص آطرآفه
وبعدين يجيب لك علبة آلآلوآن
وآنصحك يوم تجي علبة آلآلوان (فوشي-تركواز-آحمر) <- آختآآري وآحد منهم مو كلهم
وتختآرين آللون
وبعدين يحط آلسلك ويثبته بآلمطآآطآآت ويقص آلزآيد من آلآإآإطرآف
وبث
لآ تخآفين آلششد هو شغل نص سسآعة أو آقل