أم فهوودي وزيود
أم فهوودي وزيود
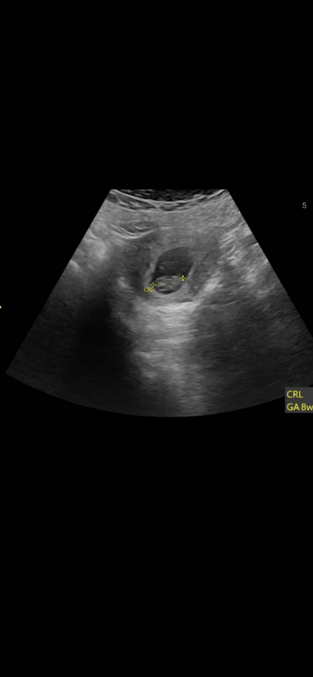
مساء الخير امهات كيف احوالكم مبروك الي عرفو جنس الجنين عقبالنا يارب والله يفرحنا بشوفتهم بصحة وسلامة
الحمد لله انشغلنا بعودة المدارس لكن اتعادينا من انفلونزا جابها ولدي من الحضانة تعب وتعبت وراه وللحين الكحة ذحتني ولا اقدر اخد ادويه اخدت بس فيتامين سي وحبوب مص بالزنحبيل موعدي ان شاء الله يوم ١٣فبراير يارب اعرف جنس الجنين رغم انه زوجي رافض نعرف نخليها للولادة بس فضولي ماخلاني بسويها من وراه
🍓سارونهـ🍓
🍓سارونهـ🍓
مساء الخير امهات كيف احوالكم مبروك الي عرفو جنس الجنين عقبالنا يارب والله يفرحنا بشوفتهم بصحة وسلامة الحمد لله انشغلنا بعودة المدارس لكن اتعادينا من انفلونزا جابها ولدي من الحضانة تعب وتعبت وراه وللحين الكحة ذحتني ولا اقدر اخد ادويه اخدت بس فيتامين سي وحبوب مص بالزنحبيل موعدي ان شاء الله يوم ١٣فبراير يارب اعرف جنس الجنين رغم انه زوجي رافض نعرف نخليها للولادة بس فضولي ماخلاني بسويها من وراه
مساء الخير امهات كيف احوالكم مبروك الي عرفو جنس الجنين عقبالنا يارب والله يفرحنا بشوفتهم بصحة...
الف سلامه عليك

غريبة رافض ليش؟
مارح يدري
شوفي الجنس ولاتخبرينه
النـدى🍃
النـدى🍃
الم العظام تحسين بحكة بالحلق من داخل صداع حرارة
الم العظام تحسين بحكة بالحلق من داخل صداع حرارة
كلها فيني🤦🏻‍♀️💔
النـدى🍃
النـدى🍃
البدايه الم في الحلق وصداع وتعب
البدايه الم في الحلق وصداع وتعب
الله يعديها على خير
HANAN0
HANAN0
مافيني صبرر رحت انبش🏃🏻‍♀️🏃🏻‍♀️🏃🏻‍♀️
توقعاتكم اصحاب الخبرة 🦦