أهلــــــين حبيبتي ...
من قــــآل هالكلام .. ؟؟!!!
حبيبتي .. هالكلام مــآ أعتقد أنه صحيح ...
لأني أعرف قريبه لي عملت نفس عمليتي من قبل ..
وإلى الآن لم يعد كما كان ... !!
حبيبتي ..
أعملي العملية اذا تقدرين .. في مستشفى الملك خالد الجامعي بالرياض ..
عند د. عبدالمنعم الصديقي ..
أو على الأقل رتبي لك موعد عنده وخليه يكشف على حالتك ... وشوووفي ردة
انتظر ردك بفاارغ الصبر ..
الله يعافيك عزيزتي ويعافي جميييع مرضى المسلمين يـــــــآآآرب

عروب وردية :
أهلــــــين حبيبتي ... من قــــآل هالكلام .. ؟؟!!! حبيبتي .. هالكلام مــآ أعتقد أنه صحيح ... لأني أعرف قريبه لي عملت نفس عمليتي من قبل .. وإلى الآن لم يعد كما كان ... !! حبيبتي .. أعملي العملية اذا تقدرين .. في مستشفى الملك خالد الجامعي بالرياض .. عند د. عبدالمنعم الصديقي .. أو على الأقل رتبي لك موعد عنده وخليه يكشف على حالتك ... وشوووفي ردة انتظر ردك بفاارغ الصبر .. الله يعافيك عزيزتي ويعافي جميييع مرضى المسلمين يـــــــآآآربأهلــــــين حبيبتي ... من قــــآل هالكلام .. ؟؟!!! حبيبتي .. هالكلام مــآ أعتقد أنه صحيح ......
مرحبآآ عروب"الله يشفيك ويشفيني وجميع مرضى المسلمين يآآآآرب"
حبيت اسألك عن:
*هل العمليه تأثر ع الدراسه؟ "بعد كم يوم. وارجع طبيعيه؟"
*وهل تعدل الشكل الخارجي للظهر بعد العمليه ؟ "لانه يزعجني حييييل":(
وجزآآآآآآآآآك الله خير.. ولي عودة
حبيت اسألك عن:
*هل العمليه تأثر ع الدراسه؟ "بعد كم يوم. وارجع طبيعيه؟"
*وهل تعدل الشكل الخارجي للظهر بعد العمليه ؟ "لانه يزعجني حييييل":(
وجزآآآآآآآآآك الله خير.. ولي عودة


مرحبـــــــآ فيك عزيزتي ..
آآآآآآآآآمين وايـــــــــآآك يأرب
عزيزتي ...
آآآآآآآآآآآآآآآآآآآمممممممممممممممممممم
بصــــــــرآآحه :)
أنـــآ عملت العملية في 3/9 /1431 هـ
يعني ثالث يوم من أيـــــــآم الدراسة لهذا الفصل ..
وبصرآآآحه ماكنت ناويه اقدم اتعذاري .. و أأخر دراستي ..
لأن الطبيب طمني وقال اني بكون كووويسه مررة ..
وعطــآني اجازة 40 يوم ويقوول انها كاافيه وزيادة بعد .. :)
لكن بعد العملية حسسسسسسيت اني ما اقدر أكمل لازم أعتذر هالترم عن الدراسه بالجامعة ..
مع ان الطبيب قال المفرووض انك كملتي وما اعتذرتي
بس الأهل اصروآ أني اعتذر .. يعني تعرفين خايفين من البنات وزحمتهم
في الجامعة هناك ما يرحمون أحد :)
آآآمــآ الشكل الخارجي :)
أحب أطمنك وبقووووة بعد
أنه بيرضيك .. بإذن الله تعالى ...
وما أخفيك أول كنت بالمرة متضاايقه من شكلي
وأحيانا احرم نفسي من لبس حلوو عشان ظهري :(
لكن الحين الحمد لله كل شي تمام وبالعكس أنــآ مبسووطه ..
وظهري رجع طبيعي مثل كل النــآس :)
دعوآتي لك يالغلا بصحه وعاافية ..
أنتظر ردك عزيزتي
آآآآآآآآآمين وايـــــــــآآك يأرب
عزيزتي ...
آآآآآآآآآآآآآآآآآآآمممممممممممممممممممم
بصــــــــرآآحه :)
أنـــآ عملت العملية في 3/9 /1431 هـ
يعني ثالث يوم من أيـــــــآم الدراسة لهذا الفصل ..
وبصرآآآحه ماكنت ناويه اقدم اتعذاري .. و أأخر دراستي ..
لأن الطبيب طمني وقال اني بكون كووويسه مررة ..
وعطــآني اجازة 40 يوم ويقوول انها كاافيه وزيادة بعد .. :)
لكن بعد العملية حسسسسسسيت اني ما اقدر أكمل لازم أعتذر هالترم عن الدراسه بالجامعة ..
مع ان الطبيب قال المفرووض انك كملتي وما اعتذرتي
بس الأهل اصروآ أني اعتذر .. يعني تعرفين خايفين من البنات وزحمتهم
في الجامعة هناك ما يرحمون أحد :)
آآآمــآ الشكل الخارجي :)
أحب أطمنك وبقووووة بعد
أنه بيرضيك .. بإذن الله تعالى ...
وما أخفيك أول كنت بالمرة متضاايقه من شكلي
وأحيانا احرم نفسي من لبس حلوو عشان ظهري :(
لكن الحين الحمد لله كل شي تمام وبالعكس أنــآ مبسووطه ..
وظهري رجع طبيعي مثل كل النــآس :)
دعوآتي لك يالغلا بصحه وعاافية ..
أنتظر ردك عزيزتي
الصفحة الأخيرة
الله يسلمك عزيزتي ..
..
حبيبتي .. الجنف له حالات ومستويات ..
يعني تحدد صعوبه العملية بقدر الانحناء والعمر ..
وكل ماازاد الإنحناء وزاد العمر زادت صعوبة العملية ...
أمـــآ فكرة الحديد فعــآدي جدا أنــآ مـــآ أخفيك أنــآ أحس فيه صحيح لكن عــآدي جدآآآ :)
رآح تحسين وكأن ظهرك ممسوك أو مشدود لكن بعد فترة من العملية رآح يكون الوضع طبيعي جدآ ..
حبيبتي ..
خبري بنت عمتك أنها في أووول الأيام بعد العملية ..
رآح تحس بألم شديد لكن رآح يخف بعد فترة
.. ورآح تتجنب عمل بعض الاشياء لمدة ماتقل عن 6 شهور ..
وأنــآ باقي لي شهرين واتعدى هالفترة >> دعواتك
واهي ماشاء الله عمرها صغير .. يعني بإذن الله رآح تكون عمليتها سهله وميسرة
.. وماراح تعاني مثلي ..
لأاني جد عانيت كثير بحكم أن عمري 21 سنه .. يعني مو صغيرة ..
::
وخبريها بعد أنها رآآآآآآآح تحس برآآحه نفسيه وجسديه بعد العملية
ورآح يرجع ظهرها طبيعي بإذن الله .. ولا تتردد في عمل العملية لأنها مهمه خصوصا انها اذا تأخرت في عمل العملية
رآح يسبب شلل لا قدر الله ..
والحمد لله المملكة العربيه السعودية .. امكانياتها عاليه في الجانب الطبي ..
والله ماقصروآ ..
أنــآ سويت العملية في مستشفى الملك خالد الجامعي .. الخاص بطلاب جامعة الملك سعود كلية الطب ..
عند الدكتور عبدالمنعم الصديقي ..
وله عيادة خاصة بمستشفى الحبيب الطبي عندنا بالرياض ..
شووفي حبيبتي ..
هذا الموضوع
الطبيب الملتحي اهو الدكتور عبدالمنعم .. استشار في جراحه العظام ..
ــــــــــــــــــــــــــــــــــــــــــــــــــــــــــــــ
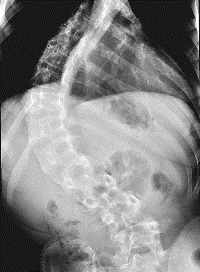
وحدة الجراحات التقويمية (للجنف) بالجامعة تنجح في علاج مريض أصيب بالشلل يُعتبر ثاني أكبر مركز على مستوى المملكة وأجرى عمليات نادرة
وحدة الجراحات التقويمية (للجنف) بالجامعة تنجح في علاج مريض أصيب بالشلل
نجح فريق طبي في مستشفى الملك خالد الجامعي في إنهاء معاناة مريض في الثالثة عشرة من عمره أصيب بالشلل نتيجة انحراف شديد في العمود الفقري (الجنف) وتأخر في العلاج حتى وصلت نسبة الانحناء إلى (140درجة). هذا، وقد تم تنويم المريض بشكل عاجل وأجريت له عملية جراحية لإزالة الضغط عن الحبل الشوكي وتم تقويم الظهر من الخلف حيث تمكن المريض من المشي والعودة لممارسة حياته الطبيعية بعد العملية مباشرة ولله الحمد.
من جانبه أكد عميد كلية الطب والمشرف على المستشفيات الجامعية الأستاذ الدكتور مساعد بن محمد السلمان أنه تم بحمد لله إنجاز أكثر من (خمسة وخمسين) عملية جراحية لمرضى من مختلف الأعمار ممن يعانون من انحرافات شديدة في العمود الفقري (الجنف) بمستشفى الملك خالد الجامعي جامعة الملك سعود وأشار أن ذلك تم بعد اكتمال التجهيزات بوحدة الجراحات التقويمية لانحرافات العمود الفقري وذلك خلال فترة وجيزة لم تتجاوز (سبعة عشر شهراً) منذ ****ئها، وأبان أن تلك الإنجازات المتتالية التي تحققها كلية الطب والمستشفيات الجامعية هي تأكيد لتميز وبراعة الطبيب السعودي واحتواء الكلية والمستشفيات الجامعية على كوادر وطنية وتخصصات نادرة في العديد من المجالات.
وذكر الدكتور عبدالمنعم الصديقي الأستاذ المساعد بكلية الطب واستشاري جراحة العظام والعمود الفقري بمستشفى الملك خالد الجامعي ورئيس الفريق الطبي لوحدة الجراحات التقويمية للعمود الفقر (الجنف) أن الانحرافات في العمود الفقري تعد من الأمراض الخطيرة والمعقدة في أي مجتمع، ونظراً لندرة المراكز الطبية و ندرة المتخصصين في هذا المجال، فإن ذلك أدى إلى تأخر العديد من المرضى في تلقي العلاج ووجود صعوبات كثيرة في تعديل وتقويم هذه الانحرافات حيث تزداد نسبة الانحراف كلما تقدم بالمريض العمر وتأخر العلاج.
وأكد الدكتور الصديقي أن المركز أنهى جميع مستلزماته ومتطلباته لإجراء كافة عمليات انحرافات العمود الفقري وتامين الأجهزة اللازمة مثل جهاز ملاحظة الأعصاب من أحدث الأنواع وتحديد فريق متكامل يشمل طبيين وفني وكذلك فريق التخدير المتميز الذي يحظى به مستشفى الملك خالد الجامعي والذي لا يمكن عمل مثل هذه العمليات بدونه، وكذلك تأمين جميع الأدوات اللازمة لإجراء الجراحة، وقد كلف ذلك الكثير من الجهد والمال حتى تم اكتمال المركز ولله الحمد.
أما عن تنوع الحالات فيذكر الدكتور الصديقي أنه تم عمل أربع حالات عن طريق شق الصدر وإرخاء العمود من الأمام وذلك لشدة انحراف العمود الفقري حيث بلغ في إحدى الحالات (140 درجة)،
وكذلك تم عمل حالتين عن طريق عمل فتحة في البطن لشدة الانحراف، أما أكثر الحالات فكانت تحتاج إلى تثبيت وتقويم للعمود الفقري من الخلف فقط، ومن الحالات النادرة كذلك حالة لطفل في السابعة من عمره تم فيها استئصال فقرة كاملة من الخلف كانت ضاغطة على الحبل الشوكي.
وفي الختام أكد الدكتور الصديقي أن هذا التقدم يعود الفضل فيه إلى الله سبحانه وتعالى ثم للدعم المتميز الذي يلقاه المركز من قبل إدارة الجامعة ممثلة بمعالي الدكتور عبدالله بن عبدالرحمن العثمان وكافة المسئولين بالجامعة ومتابعة عميد كلية الطب والمشرف على المستشفيات الجامعية الأستاذ الدكتور مساعد بن محمد السلمان حتى تم اكتمال هذه الوحدة التي أصبحت بحمد لله تستقبل المرضى من جميع المراكز الطبية في المملكة وتقدم لهم الرعاية الكاملة والعلاج المتميز وبمستوى طبي راق ولله الحمد.
ـــــــــــــــــــــــــــــــ
أتمنى أكون افدت
شكرآ لك ..
وأي استفسار أنــآ مستعدة ..
والله يعافي ويشافي بنت عمتك وكل المسلمين يــــــآآآرب ..