طيب له عمر محدد؟
وذكان فية ضروس مخلوعة من اول لازم يخلوع ثانيات اولا ياليت تجوبوني
لا ماقد سمعت ان له عمر محدد بس اكيد يفضل يكون بدري
واذا في ضروس مخلوعه مايحتاج لان انا في ضروس لي مخلوعه ماخلوعوا مكانها بكفي
واذا في ضروس مخلوعه مايحتاج لان انا في ضروس لي مخلوعه ماخلوعوا مكانها بكفي
** أثر اعوجاج الأسنان على وظائفها :
1- الأكل :
لما تبقا السنان بأحجامها الطبيعية ومرصوصة بشكل صحيحة والعلاقة بين الفكين سلمية بيقدر الانسان يقفل بقه صح وبالتالي يقدر يمضغ الأكل بشكل سليم انما لما يبقا فيه اعوجاج في الاسنان او ان سنان طالعة لبرة واخرى لجوة هيبقا المضغ صعب ومش صحي بالمرة فيضطر الانسان ساعتها انه ياكل الحاجات الطرية بس ويبعد عن الحاجات الناشفة فيقعد ياكل في بطيخ وزبادي لحد ما يموت وبالتالي يصاب بسوء تغذية و مشاكل في اللثة لا قدر الله .
2-التنفس الصحيح :
استخدام الأطفال للمصاصة بطريقة خطأ لمدة طويلة ممكن يتسبب في ضيق الفك العلوي وبالتالي مشاكل في التنفس وبتخلي الطفل يلجأ للتنفس من الفم بدل الأنف
3-الكلام بشكل جيد :
طبعا المريض بيعاني من مشاكل في مخارج الحرف والنطق فبيكون انطوائي و غير ميال للمشاركة فتلاقي عنده صعوبة في اظهار الحرف بشكله السليم
4- الشكل الجميل :
طبعا دي بتعتبر من الحاجات المهمة جدا .. الانسان قبل تقويم الاسنان بيبقا شكله مش حلو .. سنان متخانقة مع بعضها حبة جو وحبة بره - مش قصدي السخرية والله - و مش اي حد بيقدر يتأقلم مع حاجة زي كده و بينتج عن كده مضاعفات كتيرة قوي في التصرفات و طريقة الكلام حتى في الضحك كتير جدا من المحتاجين للتقويم بيضحكو بطريقة معينة بحيث يحاولو يخبو اسنانهم وكل الحاجات دي ردود فعل طبيعية ..
و أثبتت الدراسات ان اعوجاج الاسنان بيأثر على المستوى الدراسي للطفل لان في كتير جدا بيخجلوا انهم يشاركو زمايلهم .
**ما هو العمر المناسب لبدء تقويم الأسنان؟
البدء في التقويم فيه كذا رأي ..
اول رأي : تأخير العلاج حتى اكتمال ظهور جميع الاسنان الدائمة عدا ضرس العقل وده بيبقا تقريبا في حدود 12-13 سنة
رأي تاني : بيقولو نبدأ التقويم مع ظهور الضرس الدائم اول " وهو اول الاسنان الدائمة ظهورا " يعني في حدود 6-7 سنين وبيقولو انده بيقلل من زمن العلاج
ثالث رأي : بكل اختصار .. في اسرع وقت ممكن
في جميع الاحوال ..المفروض ان الكبار ياخدو بالهم من رصة اسنان ابنائهم في السنوات الاولى لان العلاج في الصغر اسهل وبيجنب الطفل المضاعفات النفسية والبدنية اللي اتكلمنا عنهم من شوية
هل تقويم الأسنان ممكن للكبار؟
زمان كان المعتقد ان الانسان اذا كبر وعدا مرحلة المراهقة اللي بيتم فيها اكتمال الاسنان بشكل تام - عدا ضرس العقل - فإنه يكون مستحيل تعديل وضع الاسنان بعد كده
بس حاليا المعترف بيه ان التقويم ممكن يتم في اي عمر بشرط ان الاسنان و اللثة والعضم الداعم للاسنان يكونو في حالة جيدة بس طبعا في حالة التقويم للكبار العلاج بيحتاج لوقت اكبر لان تحريك الاسنان بيبقا بطييء بطييء بطييء بسبب ان العظام في الناس البالغة اسمالله علينا كلنا بيبقا كثافة اعلى و اقوى بمراحل من الاطفال
كم هي مدة العلاج؟
مدة العلاج بتعتمد على تعقيد الحالة و على تعاون المريض مع طبيبه - مش طبيبته -
ولكن في المتوسط ممكن نقول ان التقويم بياخد حوالي 8 شهور مثلا ..
**هل تقويم الأسنان مؤلم؟
ممكن التقويم يضايق المريض بس لفترة يوم او اتنين او تااالااااته بس مش اكتر من كده .. ولو استمر الالم اكتر من كده لازم مراجعة الطبيب فورا
** ملاحظات لمرتدي التقويم:
علشان ترجع الاسنان للمكان الصحيح بشكل سليم لازم تتحرك ببطء لان كل ما كان تحريك الاسنان اسرع كل ما اثر ذلك بالسلب على قوة تمسك الجذور و على حيوية السنة
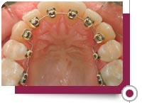
لازم الزبون قصدي صاحب التقويم يحافظ على نظافته لانه بيكون عرضة لتجمع البكتيريا و بالتالي تسوس الأسنان ودي صور للتنظيف الصحيح للاسنان
يجب المحافظة على نظافة الأسنان والتقويم وذلك باستخدام الفرشاة والمعجون والخيط السني كما يجب استخدام الفرشاة المخصصة.
استخدام مضمضة تحتوي على فلورايد وذلك للتقليل من تأثير الحموض الناتجة من البكتيريا على الأسنان
1- الأكل :
لما تبقا السنان بأحجامها الطبيعية ومرصوصة بشكل صحيحة والعلاقة بين الفكين سلمية بيقدر الانسان يقفل بقه صح وبالتالي يقدر يمضغ الأكل بشكل سليم انما لما يبقا فيه اعوجاج في الاسنان او ان سنان طالعة لبرة واخرى لجوة هيبقا المضغ صعب ومش صحي بالمرة فيضطر الانسان ساعتها انه ياكل الحاجات الطرية بس ويبعد عن الحاجات الناشفة فيقعد ياكل في بطيخ وزبادي لحد ما يموت وبالتالي يصاب بسوء تغذية و مشاكل في اللثة لا قدر الله .
2-التنفس الصحيح :
استخدام الأطفال للمصاصة بطريقة خطأ لمدة طويلة ممكن يتسبب في ضيق الفك العلوي وبالتالي مشاكل في التنفس وبتخلي الطفل يلجأ للتنفس من الفم بدل الأنف
3-الكلام بشكل جيد :
طبعا المريض بيعاني من مشاكل في مخارج الحرف والنطق فبيكون انطوائي و غير ميال للمشاركة فتلاقي عنده صعوبة في اظهار الحرف بشكله السليم
4- الشكل الجميل :
طبعا دي بتعتبر من الحاجات المهمة جدا .. الانسان قبل تقويم الاسنان بيبقا شكله مش حلو .. سنان متخانقة مع بعضها حبة جو وحبة بره - مش قصدي السخرية والله - و مش اي حد بيقدر يتأقلم مع حاجة زي كده و بينتج عن كده مضاعفات كتيرة قوي في التصرفات و طريقة الكلام حتى في الضحك كتير جدا من المحتاجين للتقويم بيضحكو بطريقة معينة بحيث يحاولو يخبو اسنانهم وكل الحاجات دي ردود فعل طبيعية ..
و أثبتت الدراسات ان اعوجاج الاسنان بيأثر على المستوى الدراسي للطفل لان في كتير جدا بيخجلوا انهم يشاركو زمايلهم .
**ما هو العمر المناسب لبدء تقويم الأسنان؟
البدء في التقويم فيه كذا رأي ..
اول رأي : تأخير العلاج حتى اكتمال ظهور جميع الاسنان الدائمة عدا ضرس العقل وده بيبقا تقريبا في حدود 12-13 سنة
رأي تاني : بيقولو نبدأ التقويم مع ظهور الضرس الدائم اول " وهو اول الاسنان الدائمة ظهورا " يعني في حدود 6-7 سنين وبيقولو انده بيقلل من زمن العلاج
ثالث رأي : بكل اختصار .. في اسرع وقت ممكن
في جميع الاحوال ..المفروض ان الكبار ياخدو بالهم من رصة اسنان ابنائهم في السنوات الاولى لان العلاج في الصغر اسهل وبيجنب الطفل المضاعفات النفسية والبدنية اللي اتكلمنا عنهم من شوية
هل تقويم الأسنان ممكن للكبار؟
زمان كان المعتقد ان الانسان اذا كبر وعدا مرحلة المراهقة اللي بيتم فيها اكتمال الاسنان بشكل تام - عدا ضرس العقل - فإنه يكون مستحيل تعديل وضع الاسنان بعد كده
بس حاليا المعترف بيه ان التقويم ممكن يتم في اي عمر بشرط ان الاسنان و اللثة والعضم الداعم للاسنان يكونو في حالة جيدة بس طبعا في حالة التقويم للكبار العلاج بيحتاج لوقت اكبر لان تحريك الاسنان بيبقا بطييء بطييء بطييء بسبب ان العظام في الناس البالغة اسمالله علينا كلنا بيبقا كثافة اعلى و اقوى بمراحل من الاطفال
كم هي مدة العلاج؟
مدة العلاج بتعتمد على تعقيد الحالة و على تعاون المريض مع طبيبه - مش طبيبته -
ولكن في المتوسط ممكن نقول ان التقويم بياخد حوالي 8 شهور مثلا ..
**هل تقويم الأسنان مؤلم؟
ممكن التقويم يضايق المريض بس لفترة يوم او اتنين او تااالااااته بس مش اكتر من كده .. ولو استمر الالم اكتر من كده لازم مراجعة الطبيب فورا
** ملاحظات لمرتدي التقويم:
علشان ترجع الاسنان للمكان الصحيح بشكل سليم لازم تتحرك ببطء لان كل ما كان تحريك الاسنان اسرع كل ما اثر ذلك بالسلب على قوة تمسك الجذور و على حيوية السنة
لازم الزبون قصدي صاحب التقويم يحافظ على نظافته لانه بيكون عرضة لتجمع البكتيريا و بالتالي تسوس الأسنان ودي صور للتنظيف الصحيح للاسنان
يجب المحافظة على نظافة الأسنان والتقويم وذلك باستخدام الفرشاة والمعجون والخيط السني كما يجب استخدام الفرشاة المخصصة.
استخدام مضمضة تحتوي على فلورايد وذلك للتقليل من تأثير الحموض الناتجة من البكتيريا على الأسنان
.: أنـــواع تقويـــم الأســـنــــان :.
الكثير من الناس يتسالون عن تقويم الاسنان انواعه واشكالة في هذا الموضوع راح نعطي رؤوس اقلام لانواع التقويم
نبتدأ بالتقويم الثابت الذي يقوم به الطبيب في العيادة وهو الاغلب انتشارا.
نختار لون ال modules المطاطات التي عليها و تكون ملونه .. هاذي الحركات منتشرة عند المراهقين والمراهقات كنوع من الصرعة او الصيحة.
بالنسبة للحاصرات صار لها اشكال كثيره
فيه التقويم اللي تكون الحاصرات مصنوعة من السيراميك _شفافه_ مو البلاستيك و لا الريزين resin
تكون سيراميك … هذه يكون فقط باين في الفم السلك … و كثير ناس يشوفوه كانه بس مثبت
(ريتينر) و لا يستوعبوا انه فيه تقويم بالفم….
و يوجد التقويم المخفي اللي تنحط فيه (البراكيتس ) اللي هي المربعات على الاسنان من الخلف مو من الامام
و له نوع معين من البراكيتس يستخدم اصغر حجما من اللي نعرفها احنا
اما الشئ الاخير و هو للمعلوميه أيضا
و هو الانفيزالاين ” التقويم اللا مرئي “
التقويم غير المرئي invisalign
منذ سنوات تم اعتماد التقويم غير المرئي في اغلب عيادات الاسنان.
إن هذه التقنية تعتبر ثورة في تقويم الأسنان بدون استخدام الأسلاك، فهي تستخدم مجموعة من الأقواس المصفوفة جنبا إلى جنب و المصنوعة من طبقة رقيقة من البلاستيك الشفاف بحيث يتم تلبيسها للسن بحيث تكون حارس لأسنانك و تعمل على تقويمها و رسم ابتسامة رائعة في نفس الوقت. هذه التقنية شفافة و سهلة الاستخدام حيث يمكن نزعها عن الأسنان بسهولة لتنظيفها و تنظيف أسنانك و من ثم إعادتها إلى مكانها.
ميزاتها....
إمكانية نزع أقواس التقويم عند الأكل أو لتنظيف الأسنان أو لغسلها بسهولة .
- استبدال الأقواس كل أسبوعين.
أسنانكم تعود إلى مكانها الطبيعي بشكل واضح لكم ،حيث تلاحظون الفرق يوما عن يوم.
النتيجة النهائي تظهر ما بين ستة اشهر إلى سنة واحدة.
لماذا يفضل الناس التقويم غير المرئي؟؟
الراحة و السهولة في الاستخدام جعلت هذا النوع من التقويم الأكثر انتشارا ، حيث يستخدمه أكثر من 500,000 شخص حول العالم حتى الآن. في الحقيقة نجح هذا النظام في رسم الابتسامة على وجوه مئات الألوف بفاعلية و سهولة.
الكثير من الناس لا يرغبون في أن يلاحظ احد أنهم يستخدمون التقويم.
و آخرون لا يرغبون في تغيير أسلوب حياتهم .
لا وجود للأسلاك المعدنية المزعجة داخل الفم.
وطبعا تطبيقات التقويم المتحرك تعتمد على شطارة الطبيب واتقان الفني ولها مجالات كثيرة من توسيع الفك او تصحيح العلاقات الاطباقية
الكثير من الناس يتسالون عن تقويم الاسنان انواعه واشكالة في هذا الموضوع راح نعطي رؤوس اقلام لانواع التقويم
نبتدأ بالتقويم الثابت الذي يقوم به الطبيب في العيادة وهو الاغلب انتشارا.
نختار لون ال modules المطاطات التي عليها و تكون ملونه .. هاذي الحركات منتشرة عند المراهقين والمراهقات كنوع من الصرعة او الصيحة.
بالنسبة للحاصرات صار لها اشكال كثيره
فيه التقويم اللي تكون الحاصرات مصنوعة من السيراميك _شفافه_ مو البلاستيك و لا الريزين resin
تكون سيراميك … هذه يكون فقط باين في الفم السلك … و كثير ناس يشوفوه كانه بس مثبت
(ريتينر) و لا يستوعبوا انه فيه تقويم بالفم….
و يوجد التقويم المخفي اللي تنحط فيه (البراكيتس ) اللي هي المربعات على الاسنان من الخلف مو من الامام
و له نوع معين من البراكيتس يستخدم اصغر حجما من اللي نعرفها احنا
اما الشئ الاخير و هو للمعلوميه أيضا
و هو الانفيزالاين ” التقويم اللا مرئي “
التقويم غير المرئي invisalign
منذ سنوات تم اعتماد التقويم غير المرئي في اغلب عيادات الاسنان.
إن هذه التقنية تعتبر ثورة في تقويم الأسنان بدون استخدام الأسلاك، فهي تستخدم مجموعة من الأقواس المصفوفة جنبا إلى جنب و المصنوعة من طبقة رقيقة من البلاستيك الشفاف بحيث يتم تلبيسها للسن بحيث تكون حارس لأسنانك و تعمل على تقويمها و رسم ابتسامة رائعة في نفس الوقت. هذه التقنية شفافة و سهلة الاستخدام حيث يمكن نزعها عن الأسنان بسهولة لتنظيفها و تنظيف أسنانك و من ثم إعادتها إلى مكانها.
ميزاتها....
إمكانية نزع أقواس التقويم عند الأكل أو لتنظيف الأسنان أو لغسلها بسهولة .
- استبدال الأقواس كل أسبوعين.
أسنانكم تعود إلى مكانها الطبيعي بشكل واضح لكم ،حيث تلاحظون الفرق يوما عن يوم.
النتيجة النهائي تظهر ما بين ستة اشهر إلى سنة واحدة.
لماذا يفضل الناس التقويم غير المرئي؟؟
الراحة و السهولة في الاستخدام جعلت هذا النوع من التقويم الأكثر انتشارا ، حيث يستخدمه أكثر من 500,000 شخص حول العالم حتى الآن. في الحقيقة نجح هذا النظام في رسم الابتسامة على وجوه مئات الألوف بفاعلية و سهولة.
الكثير من الناس لا يرغبون في أن يلاحظ احد أنهم يستخدمون التقويم.
و آخرون لا يرغبون في تغيير أسلوب حياتهم .
لا وجود للأسلاك المعدنية المزعجة داخل الفم.
وطبعا تطبيقات التقويم المتحرك تعتمد على شطارة الطبيب واتقان الفني ولها مجالات كثيرة من توسيع الفك او تصحيح العلاقات الاطباقية
الصفحة الأخيرة
ركبي اذا ااسنانك موعاجبتك
لان بصراحه انا عندي قناعه ان الاسنان مره تضف حلاوه ونعومه للوحده