هلا اختى انا اسفه بس صاير عندي مشكله باللوحه التحكم
انتي ارسلى الرساله اذا ماضبط حطى الجواب بالموضوع هاذا وانا اشكرك من اعماق قلبي على حرصك
* ريم *
•
* ريم * :
هلا اختى انا اسفه بس صاير عندي مشكله باللوحه التحكم انتي ارسلى الرساله اذا ماضبط حطى الجواب بالموضوع هاذا وانا اشكرك من اعماق قلبي على حرصكهلا اختى انا اسفه بس صاير عندي مشكله باللوحه التحكم انتي ارسلى الرساله اذا ماضبط حطى الجواب...
اهلا حبيبتي مافي داعي لاسف ياغاليه
وخلص المشكله تحلت الحمدالله انا بعت لك الرد واي استفسار تاني تحت امرك
والشكر لله حبيتبي انا دايما بكون في خدمتكم ان شاءالله
انتوا بس ادعوا لي
وخلص المشكله تحلت الحمدالله انا بعت لك الرد واي استفسار تاني تحت امرك
والشكر لله حبيتبي انا دايما بكون في خدمتكم ان شاءالله
انتوا بس ادعوا لي
نحووولة
•
السلام عليكم اختي هل يوجد حشوة للاسنان بنفس قـــــــوة الحشوة المعدنيه للاسنان ؟ماهي وكم مده او الفترة لتحملها لحين تغيرها؟؟
وهل صحيح ان انكسر جزء بسيط من السن نفسها يمكن ان تتطول وتتساوى بالطول مع الاسنان من حولها؟
انتظر ردك اختي وجزاك الله خير ع الموضوع
وهل صحيح ان انكسر جزء بسيط من السن نفسها يمكن ان تتطول وتتساوى بالطول مع الاسنان من حولها؟
انتظر ردك اختي وجزاك الله خير ع الموضوع
نحووولة :
السلام عليكم اختي هل يوجد حشوة للاسنان بنفس قـــــــوة الحشوة المعدنيه للاسنان ؟ماهي وكم مده او الفترة لتحملها لحين تغيرها؟؟ وهل صحيح ان انكسر جزء بسيط من السن نفسها يمكن ان تتطول وتتساوى بالطول مع الاسنان من حولها؟ انتظر ردك اختي وجزاك الله خير ع الموضوعالسلام عليكم اختي هل يوجد حشوة للاسنان بنفس قـــــــوة الحشوة المعدنيه للاسنان ؟ماهي وكم مده او...
وعليكم السلام ورحمة الله وبركاته
اهلا وسهلا فيك اختى الكريمه وجزاني وااياك ان شاء الله
تعتبر الحشوات الخزفية الجديدة الحشوات المثالية من حيث القوة والبقاء والجمال ولكن عيبها الوحيد غلاء ثمنها والمده اتوقع والله اعلم انها مثل الفضه من 10 الى 25 سنه وفي ناس ممكن تعيش معهم اكتر
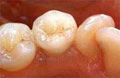
صورة لحشوات معدنية تم استبدالها بحشوات خزفية
ويقول الدكتور أحمد كنعان استشاري طب الأسنان من جامعة متشغن بالولايات المتحدة، إن المرء حينما يحتاج الى حشو أحد أسنانه، فإن من الممكن له أن يختار الحشو الأبيض الأقل تحملاً حتى في الأسنان الخلفية، بشرط المتابعة لمدة ستة أشهر لدى طبيب الأسنان وأخذ صور أشعة سينية له للتأكد من سلامة الحشو من التشقق أو الكسر. وهذا النوع وإن كان عمره قصيرا لا يتجاوز سبع سنوات إلا أن البعض قد يرى أن تطابق لون الحشو مع لون السن يستحق تحمل عناء إعادة تثبيت حشو آخر بعد هذه السنوات.
يمكنك ان ترى ماذا يقدم لك طب تجميل الاسنان الحديث
بعض الصور توضح قبل العلاج وبعده
بعض حالات التشققات والتلون او عدم انتظام سطح الاسنان يمكن ان يسوى بمادة الكمبوزيت او بتصنيع قشرة خزفية ثم تلصق بمواد خاصة لتعطي الاسنان مظهرا طبيعيا
كذلك الحال هناك بدائل التاج الخزفي الكامل لاصلاح بعض العيوب
وبدائل اخري تسمى الحشوات الخزفية التي تغطي اجزاء من الاسنان
حشوات الخزف هناك بدائل لحشوات الاسنان المتلونة لتعطي منظرا افضل للاسنان فهناك الحشوات الخزفية المصنعة بمخابر الاسنان او في العيادة مباشرة مع تنوع في الوانها مما يسهل التحكم بمطابقة اللون مع لون الاسنان
هاد الي جمعته لك بالنسبه لحشوات الاسنان بس بالنسبه لسوالك اختى الغاليه مافهمت قصدك كتير ممكن توضحي اكتر
وهل صحيح ان انكسر جزء بسيط من السن نفسها يمكن ان تتطول وتتساوى بالطول مع الاسنان من حولها؟
صحيح اختى بس مو بالصوره الي ذكرتيها مو جزء بسيط مابياثر
وليس بالضروره مع الاسنان الي حواليها في شي اسمه
حركة الاسنان الفيزيولوجية
وهي الحالة بتصير اكتر في قلع الاسنان المقابله او في حالة تحضير التيجان والجسور
او
الفقدان المبكر للأسنان المؤقتة يؤدي الى
ميلان الأسنان المجاورة وتطاول الأسنان المقابلة لمنطقة القلع مما قد يؤدي الى مشاكل مفصلية أو وظيفية
لو مافهتمت قصدك ياليت توضحي سوالك اكتر
واهلا وسهلا فيك اختى الكريمه مره تانيه
الصفحة الأخيرة
اهلا وسهلا فيك اختى شكلك مابتابعي برنامجنا دايما شوفي المشاركه رقم 98 واحكي لي رايك فيها :cook:
وهي هي الصوره الي بتطلع لي بس ابعت لك والرد جاهز حبييتى انت بس اعملي استقبال