&بنت الاقصى&
&بنت الاقصى&
لا يمكنك مشاهدة هذا التعليق لانتهاكه شروط الاستخدام.
خير ان شااءلله ياختي ماتخافي انت كتير شكلك قلقانه بسيطه ان شاءالله حبييتى ماتشيل هم على العموم انا نزلت موضوع عشان شوفيه على الرابط هو صح طويل بس كتير مهم

http://forum.hawaaworld.com/showthread.php?t=1249732

وطمننى عنك والف سلامه عليك
أم أواب
أم أواب
السلام عليكم ورحمة الله وبركاته ...
أهلين أختي بنت الأقصى.. أملي بالله كبير ثم بك إنك تحلين لي مشكلتي اللي هي سواد اللثه بدأت معي المشكله من أيام الأبتدائي وإلى الأن رحت لكذا دكتور وكلهم يقولون هذا شي طبيعي وماله علاج . أنا الحمدلله ماتسبب لي ألام ولكن لونها مره يحرجني .
&بنت الاقصى&
&بنت الاقصى&
السلام عليكم ورحمة الله وبركاته ... أهلين أختي بنت الأقصى.. أملي بالله كبير ثم بك إنك تحلين لي مشكلتي اللي هي سواد اللثه بدأت معي المشكله من أيام الأبتدائي وإلى الأن رحت لكذا دكتور وكلهم يقولون هذا شي طبيعي وماله علاج . أنا الحمدلله ماتسبب لي ألام ولكن لونها مره يحرجني .
السلام عليكم ورحمة الله وبركاته ... أهلين أختي بنت الأقصى.. أملي بالله كبير ثم بك إنك تحلين لي...






وعليكم السلام ورحمة الله وبركاته

حبيبتي اول شي اهلا وسهلا فيك جمعت لك بعض المعلومات عن سواد اللثه رح انقلها لك اتمنى تفيدك واي استفتسار تاني تحت امرك ياغاليه والف سلامه عليك
ان شاءالله




في غالب الأحيان تلون اللثة يكون طبيعي ويعود للون بشرة الأنسان فالبشرة السمراء تكون اللثة أغمق من البشرة البيضاء .
و تلون اللثة المرضي يكون اما بسبب بعض الادوية او نتيجة اشتنشاق بعض المواد التي تظهر على شكل تلون في اللثة . في هذه الحالة ازالة السبب يزيل التلون في أغلب الحالات .
بعض الامراض الهرمونية تكون لها اعراض بتلوين اللثة بالسواد مثل Addison,s - و Nilson,s
-بعض المعادن الموجودة في مياه الشرب مثل الرصاص تترسب باللثة


عاده الماده المسئوله عن اللون هى: الميلانين و الكاراتين و الهيموجلوبين ... و تتواجد هذه الصبغات بنسب معينه فى اللثه لأعطاءها اللون الزهرى الطبيعى ... و لكن قد يحدث خلل فى توازن هذه النسب المتواجده مما يسبب اسوداد فى لون اللثه و تسمى باللثه السوداء ... و تكون اما على شكل نقاط ... او تصبغ اللثه كاملا ... و يتفاوت اللون ما بين البنى أو الأسود... هذا التصبغ لا يعتبر مرض بحد ذاته و نسميه تصبغ اللثه الغير عضوى (physiological periodental pigmentation) و هناك اسباب اخرى للحاله هذه ....الوراثه.... طبيعه البشره .... اسمرار البشره
ممكن حدوث هذا التصبغ من التدخين ... اكل البهارات الملونه و الحاره ... قد يكون التهاب فى اللثه .... بعض الأحيان طبيب الأسنان يتسبب فى اسوداد اللثه اثناء عمله حشو السن و خاصه المنطقه بين الأسنان قد تسقط قطعه صغيره من الحشوه الأملغميه و تسبب اسوداد فى تلك المنطقه... و نسميه وشم الأملغم (Amalgam tatoo)... فقر الدم قد يسبب اسوداد ... بعض الأمراض المزمنه مثل الفشل الكلوى يسبب مشاكل للثه ... مرض السكر ...



العلاج

العلاج عن طريق القشط الرقيق للثة : وهو عبارة عن عملية جراحية بسيطة نقوم بها تحت التخدير الموضوعي بقشط هذه البقع الصغيرة التي تتكون على السطح اللثوي


العلاج بأشعة الليزر : العلاج بأشعة الليزر بالطبع هو القادر على إزالة هذه البقع بواسطة أشعة ليزر الأريبيوم والنتائج ممتازه

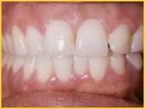
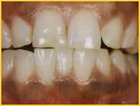
وهنا صور مثال لهذه المشكلة قبل وبعد المعالجة



حالة اللثة قبل عملية القشط





اللثة بعد عملية القشط والمعافات

بس اختى الغاليه لازم تروحي عند دكتور يكون تخصصه استشاري امراض لثه اذا اخترتي الخيار الاول

لقيت لك هالسوال بيشهه سوالك نقلت لك االاجابه :32:
كانت عمليات تفتيح اللثه تقتصر سابقا على ازالة البقع الداكنه الناتجه عن التدخين و كثرة الشاي و القهوه و المشروبات الغازيه و التي يقوم بها استشاري مختص في امراض اللثه فقط عن طريق كشط طبقه رقيقه من اللثه باستخدام تخدير موضعي و ادوات خاصه لهذه العمليه و من ثم تغطيه اللثه بماده مطاطيه معقمه و لكن من مساويء هذه العمليه هو الالم الفظيع الذي سيعانيه المريض بعدها اذا لم يلتزم بالمسكنات التي يصفها له الطبيب المعالج بالاضافه الى عدد الزيارات الازمه لتبديل الماده المطاطيه اسبوعيا الى ان يلتئم الجرح مما يرهق المريض .

اما في ايامنا هذه و في عصر البحث عن المثاليه و باعتبار ان العرب يندرجون تحت فئة ذوي البشره السمراء ,بالتالي درجة تلون وتبقع اللثة يتفاوت بين الأفراد بين اللون البني الغامق وبين اللون الأرجواني .. كثرت التساؤلات حول تفتيح اللثه بطريقه اكثر امانا و توفيرا للوقت و ايضا اقل الما و هو الاهم .. فظهر العلاج بالليزر بواسطة تسليط أشعة ليزر الأريبيوم على البقع فتزيلها بدون الم والنتائج ممتازه بالاضافه الى انها لا تحتاج الى استشاري مخثص باللثه فاصبح الان استشاري جراحه التجميل يقوم بها باكمل وجه
أم أواب
أم أواب
وعليكم السلام ورحمة الله وبركاته حبيبتي اول شي اهلا وسهلا فيك جمعت لك بعض المعلومات عن سواد اللثه رح انقلها لك اتمنى تفيدك واي استفتسار تاني تحت امرك ياغاليه والف سلامه عليك ان شاءالله في غالب الأحيان تلون اللثة يكون طبيعي ويعود للون بشرة الأنسان فالبشرة السمراء تكون اللثة أغمق من البشرة البيضاء . و تلون اللثة المرضي يكون اما بسبب بعض الادوية او نتيجة اشتنشاق بعض المواد التي تظهر على شكل تلون في اللثة . في هذه الحالة ازالة السبب يزيل التلون في أغلب الحالات . بعض الامراض الهرمونية تكون لها اعراض بتلوين اللثة بالسواد مثل Addison,s - و Nilson,s -بعض المعادن الموجودة في مياه الشرب مثل الرصاص تترسب باللثة عاده الماده المسئوله عن اللون هى: الميلانين و الكاراتين و الهيموجلوبين ... و تتواجد هذه الصبغات بنسب معينه فى اللثه لأعطاءها اللون الزهرى الطبيعى ... و لكن قد يحدث خلل فى توازن هذه النسب المتواجده مما يسبب اسوداد فى لون اللثه و تسمى باللثه السوداء ... و تكون اما على شكل نقاط ... او تصبغ اللثه كاملا ... و يتفاوت اللون ما بين البنى أو الأسود... هذا التصبغ لا يعتبر مرض بحد ذاته و نسميه تصبغ اللثه الغير عضوى (physiological periodental pigmentation) و هناك اسباب اخرى للحاله هذه ....الوراثه.... طبيعه البشره .... اسمرار البشره ممكن حدوث هذا التصبغ من التدخين ... اكل البهارات الملونه و الحاره ... قد يكون التهاب فى اللثه .... بعض الأحيان طبيب الأسنان يتسبب فى اسوداد اللثه اثناء عمله حشو السن و خاصه المنطقه بين الأسنان قد تسقط قطعه صغيره من الحشوه الأملغميه و تسبب اسوداد فى تلك المنطقه... و نسميه وشم الأملغم (Amalgam tatoo)... فقر الدم قد يسبب اسوداد ... بعض الأمراض المزمنه مثل الفشل الكلوى يسبب مشاكل للثه ... مرض السكر ... العلاج العلاج عن طريق القشط الرقيق للثة : وهو عبارة عن عملية جراحية بسيطة نقوم بها تحت التخدير الموضوعي بقشط هذه البقع الصغيرة التي تتكون على السطح اللثوي العلاج بأشعة الليزر : العلاج بأشعة الليزر بالطبع هو القادر على إزالة هذه البقع بواسطة أشعة ليزر الأريبيوم والنتائج ممتازه وهنا صور مثال لهذه المشكلة قبل وبعد المعالجة حالة اللثة قبل عملية القشط اللثة بعد عملية القشط والمعافات بس اختى الغاليه لازم تروحي عند دكتور يكون تخصصه استشاري امراض لثه اذا اخترتي الخيار الاول لقيت لك هالسوال بيشهه سوالك نقلت لك االاجابه :32: كانت عمليات تفتيح اللثه تقتصر سابقا على ازالة البقع الداكنه الناتجه عن التدخين و كثرة الشاي و القهوه و المشروبات الغازيه و التي يقوم بها استشاري مختص في امراض اللثه فقط عن طريق كشط طبقه رقيقه من اللثه باستخدام تخدير موضعي و ادوات خاصه لهذه العمليه و من ثم تغطيه اللثه بماده مطاطيه معقمه و لكن من مساويء هذه العمليه هو الالم الفظيع الذي سيعانيه المريض بعدها اذا لم يلتزم بالمسكنات التي يصفها له الطبيب المعالج بالاضافه الى عدد الزيارات الازمه لتبديل الماده المطاطيه اسبوعيا الى ان يلتئم الجرح مما يرهق المريض . اما في ايامنا هذه و في عصر البحث عن المثاليه و باعتبار ان العرب يندرجون تحت فئة ذوي البشره السمراء ,بالتالي درجة تلون وتبقع اللثة يتفاوت بين الأفراد بين اللون البني الغامق وبين اللون الأرجواني .. كثرت التساؤلات حول تفتيح اللثه بطريقه اكثر امانا و توفيرا للوقت و ايضا اقل الما و هو الاهم .. فظهر العلاج بالليزر بواسطة تسليط أشعة ليزر الأريبيوم على البقع فتزيلها بدون الم والنتائج ممتازه بالاضافه الى انها لا تحتاج الى استشاري مخثص باللثه فاصبح الان استشاري جراحه التجميل يقوم بها باكمل وجه
وعليكم السلام ورحمة الله وبركاته حبيبتي اول شي اهلا وسهلا فيك جمعت لك بعض المعلومات عن سواد...
الله يعطيك العافية أختي بنت الأقصى على هالمعلومات الرائعة ماشاء الله عليك ماخليتي شي ربي يحققك لك كل ماتمنين ..:26:
&بنت الاقصى&
&بنت الاقصى&
الله يعطيك العافية أختي بنت الأقصى على هالمعلومات الرائعة ماشاء الله عليك ماخليتي شي ربي يحققك لك كل ماتمنين ..:26:
الله يعطيك العافية أختي بنت الأقصى على هالمعلومات الرائعة ماشاء الله عليك ماخليتي شي ربي يحققك لك...
الله يعافيك حبيبة قلبي ويسعدك واى خدمه تانيه تحت امرك ياغاليه
انت بس ادعي لي:26:
واللهم امين يارب يحقق لي ولك ان شاءالله ووللكل يارب