&بنت الاقصى&
&بنت الاقصى&
ممكن سؤالي اختي انا استخدم معجون ديبرودنت اللي يستخدم مره كل سبع ايام ومن محتوياته الحجر البركاني وانا مريضه بالسكر هل يضر علي
ممكن سؤالي اختي انا استخدم معجون ديبرودنت اللي يستخدم مره كل سبع ايام ومن محتوياته الحجر...
اهلا وسهلا حبيبتي
بصراحه اختى اول مره بسمع بهامعجون
هو معجون طبي وله شو؟ ومن وين بتجيبه واذا طبي ياليت تكتب لي التركيبه الكيمائيه ورح اسالك الدكتور وارد عليك ان شاءالله
&بنت الاقصى&
&بنت الاقصى&
من سنتين اخبرني الطبب ان اللثة ارتفعت لاعلي واصبح السن مكشوف مقدار 2 ملم ومن كم شهر لاحظت تصبغ الجزء المكشوف بلون بني فما الحل وعندي ضرس مائل في الجنب هل في تقويم سريع ولا لازم اعمل التقويم الا يستمر شهور
من سنتين اخبرني الطبب ان اللثة ارتفعت لاعلي واصبح السن مكشوف مقدار 2 ملم ومن كم شهر لاحظت تصبغ...


اهلا وسهلا فيك ياغاليه

تصبغ السن قصدك فيه انه صار على بني نفس السن تلون او عليه جير او مايسمى بلاك حبيتى انت عملت سحب عصب لها السن او علاج قريب
وانحسار اللثه اوماسميته ارتفاعها اله علاج لازم تروحي عند استشاري امراض لثه
وعن تلون السن شوفي هالموضوع

http://forum.hawaaworld.com/showthread.php?t=1227357

تقويم سريع لا مافي اذا كانت المشكله بسيطه وبعد عمل الاشعه المطلوبه ممكن تنحل بعض المشاكل بحهزه تقويميه متحركه والوحيد الي يقرر طبعا استشارى تقويم الاسنان بعد مايشوف الاسنان ويعملك الاشعه
&بنت الاقصى&
&بنت الاقصى&
لا يمكنك مشاهدة هذا التعليق لانتهاكه شروط الاستخدام.
اهلا حبييتى يعافيني ويعافيك ان شاءالله
امتى حشيت الضرس؟؟
ومفروض البنج مايعمل انتفاخ ممكن اول ماتاخدي البنج تحسي انه منفوخ او ثقيل بس بالحقيقه هو مابيكون هيك وياترى الحشوه كانت دائمه او مؤقته وهل كان في علاج عصب؟؟
&بنت الاقصى&
&بنت الاقصى&
gaamra gaamra :
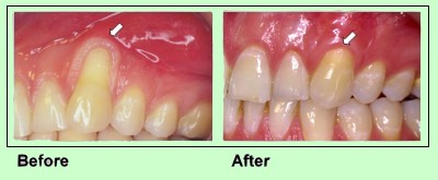
الله يجزاك خير ويجعله في ميزان حسناتك يوم القيامه انا لثتي بدت تنحسر عن اسناني هل فيه طريقه ترجعها مثل اول؟؟
الله يجزاك خير ويجعله في ميزان حسناتك يوم القيامه انا لثتي بدت تنحسر عن اسناني هل فيه طريقه...
جزاني واياك ان شاءالله اختى الكريمه

حبيتي نقلت لك جواب لسوالك شوفيه



انحسار اللثه ( receding gum)

هو فقدان جزء من اللثه مما يؤدي الى انكشاف جذور السن...غالبا ما يظهر مع تقدم السن...ولكن قد يظهر في اي مرحلة عمريه كذلك
ووجد ان 80% من البالغين يعانون من هذه المشكلة
تدخل البكتيريا الى داخل جيوب اللثه ..وتسبب انحسار اللثه وقد تسبب افرازات صديديه
يحدث هذا بهدوء ...قد لا تشعرين الا بمضايقات بسيطه ونزيف للثه ورائحة كريهه للفم




الاسباب الرئيسيه:
* تفريش الاسنان بقوة...باستخدام فرشاة الاسنان الخشنه
* مشاكل في الانسجه الضامه حول السن (periodontal diseases)
* عدم تساوي الاسنان ...خاصه تراكب الاسنان

العلاج:

بشكل عام
- استخدمي المضمضه مرتين يوميا
* اذا كان السبب طريقة التفريش...فاحرصي على استخدام فرشاه لينه غير خشنه...بدون قوة.
*استخدمي الخيط مره يوميا لمنع تجمع الاكل بين الاسنان وهي مرتع للبكتيريا
*اذا كانت اسنانك غير متساويه راجعي قسم التقويم
*اذا لم ينفع التنظيف الذي ذكرته في الاعلى راجعي اختصاصي اللثه..هناك وسائل ممكن يستخدمها (graft)

وياليت حبيبتي تشوفي الموضوع على الرابط التالي واى استفسار تاني تحت امرك

http://forum.hawaaworld.com/showthread.php?t=1249732
&بنت الاقصى&
&بنت الاقصى&
السلام عليكم كيفك بنت الأقصى.... عندي ضروس العقل طلعت بس الم فيها شديد وانا عمري27 سنة بس الضروس مو واضحة (مغطى باللثة ) والم عند نهاية كل فك وصارت اسناني مطبقة ع بعض فاهمة كيف ؟ اسنان متقدمة واسنان متاخرة بعد ما طلعت ضروس العقل الأربعة ايش حلها اشيلها بعملية يعني جراحة علشان ابغى اركب تقويم عندي بروز
السلام عليكم كيفك بنت الأقصى.... عندي ضروس العقل طلعت بس الم فيها شديد وانا عمري27 سنة بس الضروس...


وعليكم السلام ورحمة الله وبركاته
اهلا وسهلا فيك حبيبتي انا الحمد الله بخير انت كيفك ان شاءالله بخير

حبيبتي ضروس العقل لو مالها فايده او سببت لك الم او طبيب التقويم في كثير حالات بعد مايعمل الاشعه بيطلب من المريض انه يشيل ضروس العقل

وشوفي حبيتى هالموضوع على الرابط واي استفسار تحت امرك ياغاليه

http://forum.hawaaworld.com/showthread.php?t=1230675