m1n1h
m1n1h
السلام عليكم اختي بنت الاقصى

الف شكر على الموضوع الاكثر من رائع حقيقه .... كثر الله من امثالك . وجزاك احسن الجزاء

سؤالي عزيزتي .. هو عن التقويم invisilgn هذا لاني مقبلة على وضع التقويم ولا ارغب في التقويم التقليدي ولا الشفاف

كم تبلغ كلفته ؟ وهل النتيجة مرضية ؟ او انه لايفي بالغرض عند بعض الحالات

وايضا كم تبلغ كلفة التقويم الداخلي ؟

وجزاك الله الف خير
&بنت الاقصى&
&بنت الاقصى&
m1n1h m1n1h :
السلام عليكم اختي بنت الاقصى الف شكر على الموضوع الاكثر من رائع حقيقه .... كثر الله من امثالك . وجزاك احسن الجزاء سؤالي عزيزتي .. هو عن التقويم invisilgn هذا لاني مقبلة على وضع التقويم ولا ارغب في التقويم التقليدي ولا الشفاف كم تبلغ كلفته ؟ وهل النتيجة مرضية ؟ او انه لايفي بالغرض عند بعض الحالات وايضا كم تبلغ كلفة التقويم الداخلي ؟ وجزاك الله الف خير
السلام عليكم اختي بنت الاقصى الف شكر على الموضوع الاكثر من رائع حقيقه .... كثر الله من...
وعليكم السلام ورحمة الله وبركاته
الشكر لله حبييتى وايلك على تواجدك الكريم في موضعي المتواضع وجزاني واياك ان شاءالله

وبالنسبه لسؤالك حبييتى رح اذكر لك بالتفاصيل بس ياغاليه بالنسبه للتكلفه بصراحه انا بشتغل بمستشفى حكومي يعني ببلاش تعالي عنا:)
بس طبعا في مرضى بتدفع الدفع بيكون عنا شي رمزي جدا بالنسبه للمستوصفات الخاصه اكيد بس اتوقع يكون السعر بترواح بين 8 الاف الى 20000 طبعا بيعتمد على الدكتور وعلى المدينه الي انت فيها



الــــتــقـــويـــــم الــــــشـــفــــاف
(Clear Braces)

السؤال

ما هو التقويم الشفاف وهل يمكن استعماله عوضا عن التقويم المعدني

الجواب

التقويم الشفاف تقويم تجميلي ولا يظهر للعيان كثيرا ويعمل عمل التقويم المعدني تماما وتكون تكلفته اغلى بقليل من التقويم المعدني



هنالك إلتباس بسيط في السؤال

فهنالك تقويم غير مرئي

وهنالك تقويم شفاف


اما التقويم الغير مرائي فينقسم الى قسمين

1- يوضع على الأسنان من الداخل ويسبب إزعاج بسبب إحتكاكه المستمر باللسان وهذا النوع من التقويم يحتاج لطبيب تقويم متدرب

2- تقويم شفاف عباره عن مجموعه من القطع الشفافه تستبدل كل اسبوعين بواحده جديده






يتبع ماتروحي لسه ماخلصت:)
&بنت الاقصى&
&بنت الاقصى&
وعليكم السلام ورحمة الله وبركاته الشكر لله حبييتى وايلك على تواجدك الكريم في موضعي المتواضع وجزاني واياك ان شاءالله وبالنسبه لسؤالك حبييتى رح اذكر لك بالتفاصيل بس ياغاليه بالنسبه للتكلفه بصراحه انا بشتغل بمستشفى حكومي يعني ببلاش تعالي عنا:) بس طبعا في مرضى بتدفع الدفع بيكون عنا شي رمزي جدا بالنسبه للمستوصفات الخاصه اكيد بس اتوقع يكون السعر بترواح بين 8 الاف الى 20000 طبعا بيعتمد على الدكتور وعلى المدينه الي انت فيها الــــتــقـــويـــــم الــــــشـــفــــاف (Clear Braces) السؤال ما هو التقويم الشفاف وهل يمكن استعماله عوضا عن التقويم المعدني الجواب التقويم الشفاف تقويم تجميلي ولا يظهر للعيان كثيرا ويعمل عمل التقويم المعدني تماما وتكون تكلفته اغلى بقليل من التقويم المعدني هنالك إلتباس بسيط في السؤال فهنالك تقويم غير مرئي وهنالك تقويم شفاف اما التقويم الغير مرائي فينقسم الى قسمين 1- يوضع على الأسنان من الداخل ويسبب إزعاج بسبب إحتكاكه المستمر باللسان وهذا النوع من التقويم يحتاج لطبيب تقويم متدرب 2- تقويم شفاف عباره عن مجموعه من القطع الشفافه تستبدل كل اسبوعين بواحده جديده يتبع ماتروحي لسه ماخلصت:)
وعليكم السلام ورحمة الله وبركاته الشكر لله حبييتى وايلك على تواجدك الكريم في موضعي المتواضع...
التقويم الشفاف Invisalign



التقويم الشفاف يقوم مقام التقويم المعدني

وتم استبدله لرغبه المراجعين الملحه في تحسين المظهر الخارجي للأسنان اثناء علاجها وتقويمها

ماهو؟

-عباره عن سلسه مختلف الاحجام من نسخه مأخوذه عن اسنانك و مطوره الاصطفاف
يبدل كل مقاس بعد اسبوعين عن الاول

-مصنوعه من ماده الاكريل الشفاف



كيف تعمل؟؟

تعمل على تحريك الاسنان بمليمترات قليله بكل مقاس



وتحسب عن طريق تكنلوجيا الكمبيوتر والصوره الثلاثيه الابعاد كل حركه مطلوبه



كما هو مبين في الفلاش وعلى اساسه يصنع كل مقاس اكريل خاص بك


ومن ثم في المحصله ستحصلين على اسنان مصفوفه بشكل جميل



ما هي مميزاتها عن التقويم العادي؟؟

-انها شفافه وغير مرئيه



-يمكن ازالتها وتنظيفها و تعقيمها

-يمكنك المحافظه على نظافه اسنانك كما في الحاله الطبيعيه مع تقليل حصول التهابات في اللثه

-يمكنك الاكل بدونها فكأنك تأكلين طبيعي بدون مضايقه التقويم الشفاف

-اقل مده علاج حيث ستظهر النتائج في سنه تقريبا او سنه ونصف على حسب الحاله


خطوات العلاج:

1. الزياره الاولى: لاخصائيه تقويم الاسنان وعمل فحص شامل مع ملاحظه خلو الاسنان من التسوس والجير ومن ثم يتم وضع الخطه العلاجيه واخذ الطبعه الاوليه

مثل الصوره


2. الزياره الثانيه : ستستلمين التقويم المصنوع من الاكريل الاول وتلبسينه طول النهار ماعدا عند الاكل والشرب وتفريش الاسنان

3. الزياره الثالثه وتكون بعد اسبوعين من المقاس الاول ويعطى لك المقاس الثاني وتتوالى الزياران هكذا حتى نهايه العلاج

4. الزياره الاخيره ومبروووك... اسنانك كعقد اللؤلؤ..


النتائج؟؟

هذه صور لبعض النتائج من العلاج بالتقويم الشفاف:




الدلوعـ حنين ـه
التقويم الشفاف Invisalign التقويم الشفاف يقوم مقام التقويم المعدني وتم استبدله لرغبه المراجعين الملحه في تحسين المظهر الخارجي للأسنان اثناء علاجها وتقويمها ماهو؟ -عباره عن سلسه مختلف الاحجام من نسخه مأخوذه عن اسنانك و مطوره الاصطفاف يبدل كل مقاس بعد اسبوعين عن الاول -مصنوعه من ماده الاكريل الشفاف كيف تعمل؟؟ تعمل على تحريك الاسنان بمليمترات قليله بكل مقاس وتحسب عن طريق تكنلوجيا الكمبيوتر والصوره الثلاثيه الابعاد كل حركه مطلوبه كما هو مبين في الفلاش وعلى اساسه يصنع كل مقاس اكريل خاص بك ومن ثم في المحصله ستحصلين على اسنان مصفوفه بشكل جميل ما هي مميزاتها عن التقويم العادي؟؟ -انها شفافه وغير مرئيه -يمكن ازالتها وتنظيفها و تعقيمها -يمكنك المحافظه على نظافه اسنانك كما في الحاله الطبيعيه مع تقليل حصول التهابات في اللثه -يمكنك الاكل بدونها فكأنك تأكلين طبيعي بدون مضايقه التقويم الشفاف -اقل مده علاج حيث ستظهر النتائج في سنه تقريبا او سنه ونصف على حسب الحاله خطوات العلاج: 1. الزياره الاولى: لاخصائيه تقويم الاسنان وعمل فحص شامل مع ملاحظه خلو الاسنان من التسوس والجير ومن ثم يتم وضع الخطه العلاجيه واخذ الطبعه الاوليه مثل الصوره 2. الزياره الثانيه : ستستلمين التقويم المصنوع من الاكريل الاول وتلبسينه طول النهار ماعدا عند الاكل والشرب وتفريش الاسنان 3. الزياره الثالثه وتكون بعد اسبوعين من المقاس الاول ويعطى لك المقاس الثاني وتتوالى الزياران هكذا حتى نهايه العلاج 4. الزياره الاخيره ومبروووك... اسنانك كعقد اللؤلؤ.. النتائج؟؟ هذه صور لبعض النتائج من العلاج بالتقويم الشفاف:
التقويم الشفاف Invisalign التقويم الشفاف يقوم مقام التقويم المعدني وتم استبدله لرغبه...
السلام عليكم .. أختي العزيزة
أعاني من تغير لون اللثه فهو غامق .. يميل الي اللون البني
وسبق وأن استشرت طبيب الأسنان وأخبرني عن العلاج بالليزر
لكنه مكلف صراحه .. لا توجد خلطه لتفتيح لون اللثه ..؟

وجزاك الله خيراً ..
&بنت الاقصى&
&بنت الاقصى&
السلام عليكم .. أختي العزيزة أعاني من تغير لون اللثه فهو غامق .. يميل الي اللون البني وسبق وأن استشرت طبيب الأسنان وأخبرني عن العلاج بالليزر لكنه مكلف صراحه .. لا توجد خلطه لتفتيح لون اللثه ..؟ وجزاك الله خيراً ..
السلام عليكم .. أختي العزيزة أعاني من تغير لون اللثه فهو غامق .. يميل الي اللون البني وسبق وأن...


وعليكم السلام ورحمة الله وبركاته

اول شي اهلا وسهلا فيك حبييتى منوره الصفحه وبالنسبه للخلطات الطبيعه اعذرني حبييتى مااقدر افيديك بس رح اسالك ان شاءالله بس مابتذكر سمعت انه في انا رح اذكر كل شي بتفصيل عن الاسباب تلون اللثه والعلاج وان شاءالله تسفيدي

وجزاني واياك ان اشاءالله اختى الكريمه

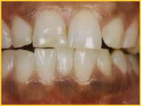
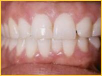
تبقع اللثة بالسواد أو بالألوان الداكنة هي أحد السمات المميزة للبشرة السمراء والداكنة ، وباعتبار أننا نحن العرب نندرج ضمن هذه الفئات من الناس لذلك فالكثير من المراجعين لعيادتي يسألونني عن علاج تلك المشكلة لذلك أجببت أن أكتب لكم اليوم عن هذا الموضوع وعن طرق علاجه الذي يشغل بال الكثير من الشباب والفتيات في مجتمعنا المعاصر

درجة تلون وتبق اللثة يتفاوت بين الأفراد بين اللون البني الغامق وبين اللون الأرجواني .


هناك عدة طرق للعلاج وهي


العلاج بأشعة الليزر : العلاج بأشعة الليزر بالطبع هو القادر على إذالة هذه البقع بواسطة أشعة ليزر الأريبيوم والنتائج ممتازه كما هو واضح من الصور المرفقة



العلاج عن طريق القشط الرقيق للثة : وهو عبارة عن عملية جراحية بسيطة نقوم بها تحت التخدير الموضوعي بقشط هذه البقع الصغيرة التي تتكون على السطح اللثوي



وهنا صور مثال لهذه المشكلة قبل وبعد المعالجة


حالة اللثة قبل عملية القشط


اللثة بعد عملية القشط والمعافات