-ميمي-
-ميمي-
اختي انا حابه اسالك عن حالتي :( انا عمري 22 والى الان ماظهرو الانياب ولمى رحت الدكتوره سوتلي اشعه وقالتلي لازم جراحه؟؟؟ هل الجراحه مؤلمه؟؟ وقالتلي لازم تقويم مافي حل بدون تقويم ارجو منك الاجابه سريعا لان عندي موعد اسنان قريب واذا انت من الرياض او اي احد من اخواتي المتواجدين ياليت تفديني عن عياده ممتازه ومانكون غاليه لان اتقويم مكلف :) وشكرا لك وللجميع
اختي انا حابه اسالك عن حالتي :( انا عمري 22 والى الان ماظهرو الانياب ولمى رحت الدكتوره سوتلي...
أختي حابه اسالك
انا عندي تشوه بالفك العلوي :( نفس الفك بارز والاسنان الاماميه ال 6 تركيبه هل التقويم ينفع لعلاج تشوه الفك :06: ؟؟؟؟

وجزاك الله خير
&بنت الاقصى&
&بنت الاقصى&
اختي انا حابه اسالك عن حالتي :( انا عمري 22 والى الان ماظهرو الانياب ولمى رحت الدكتوره سوتلي اشعه وقالتلي لازم جراحه؟؟؟ هل الجراحه مؤلمه؟؟ وقالتلي لازم تقويم مافي حل بدون تقويم ارجو منك الاجابه سريعا لان عندي موعد اسنان قريب واذا انت من الرياض او اي احد من اخواتي المتواجدين ياليت تفديني عن عياده ممتازه ومانكون غاليه لان اتقويم مكلف :) وشكرا لك وللجميع
اختي انا حابه اسالك عن حالتي :( انا عمري 22 والى الان ماظهرو الانياب ولمى رحت الدكتوره سوتلي...



اول شي اهلا وسهلا فيك

تاني شي ماتخافي ياقلبي مافي الم ان شاءالله رح بتروحي على دكتور او استشاري جراحه بيتفح لك فتحه بسيطه مكان الانياب ودكتور التقويم بنزلها ايلك ان شاءالله ماتشيلي هم
:26:

وطمننى عنك وعن العيادات ماعندي فكرى اتمنى حد غيري يفيدك
إيروكا
إيروكا
دكتورة الله يعطيك العافيه ع الموضوع ويجعله في ميزان حسناتك يارب


دكتورة عندي سؤال


الان كل مارحت للاسنان قالت سحب عصب وهدفهم مادي مررره
ومره رفضت كلش سحب العصب
والحمدلله تمام التمام
وبعدها عرفت انه استغلال لااكثر على حساب اسناننا

دكتورة الان سني رقم 2 يسار
قبل عملت لخ حشوة ع الجنب
وقبل اسبوع وانا اكل تكسرت واشوف من جوا كان شي اسود او بني
وخايفه اروح تقول سحب عصب

للعلم انه مافيه الم ابد

شرايك ؟
كيف اعرف ان السن محتاج لعصب ؟
&بنت الاقصى&
&بنت الاقصى&
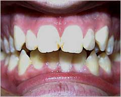
أختي حابه اسالك انا عندي تشوه بالفك العلوي :( نفس الفك بارز والاسنان الاماميه ال 6 تركيبه هل التقويم ينفع لعلاج تشوه الفك :06: ؟؟؟؟ وجزاك الله خير
أختي حابه اسالك انا عندي تشوه بالفك العلوي :( نفس الفك بارز والاسنان الاماميه ال 6 تركيبه هل...






اهلا وسهلا فيك اختى


حبيبتي لازم تروحي على دكتور ويعمل لك اشعه للفك كامل اسمها بانوراما متل الي بصوره





واشعه تانيه اسمها سيفالومتريك cephalometric x ray

متل الي بصوره




وبعدها الطبيب يحدد اذا متل مابتحكي عندك مشكله بالفك بهي الحاله ممكن تحتاجي تدخل جراحي عشان الدكتور الجراح يرجع لك الفك واقصد بالدكتور الجراح الي هو استشاري جراحه الوجه والفكين
وبهيك يصير اسمها

الجراحة التقويمية Orthodontic Surgery


وان شاءالله ربنا يسر لك دكتور جراحه وتقويم يكونوا شاطرين لانه نتائجها رائعه وتغير الشكل اتذكر مريضه عنا مره عملتها وبعد ماطلعت من غرفه العمليات وراحت لغرفتها امها ماعرفتها لانه الشكل بيتغير كتير لاحسن طبعا وابوها صار يحكي للدكتور انه بعد العمليه بده يغلي مهرها :)


هي حاله بسيطه قبل وبعد للتقدم بسيط او بروز في الفك العلوي









وجزاني واياك ياغاليه وطمننى عنك والف سلامه عليك مقدما
&بنت الاقصى&
&بنت الاقصى&
دكتورة الله يعطيك العافيه ع الموضوع ويجعله في ميزان حسناتك يارب دكتورة عندي سؤال الان كل مارحت للاسنان قالت سحب عصب وهدفهم مادي مررره ومره رفضت كلش سحب العصب والحمدلله تمام التمام وبعدها عرفت انه استغلال لااكثر على حساب اسناننا دكتورة الان سني رقم 2 يسار قبل عملت لخ حشوة ع الجنب وقبل اسبوع وانا اكل تكسرت واشوف من جوا كان شي اسود او بني وخايفه اروح تقول سحب عصب للعلم انه مافيه الم ابد شرايك ؟ كيف اعرف ان السن محتاج لعصب ؟
دكتورة الله يعطيك العافيه ع الموضوع ويجعله في ميزان حسناتك يارب دكتورة عندي سؤال الان...



الله يعافيك حبيبتي تسلمي وانا مو دكتوره بس رح اصير ان شاءالله عشانكم

واللهم امين

حبيبتي انصحك بس ماتروحي لهادالدكتوره غيرها لاسف متل ماقلتي كل شي صار يربطه الماده والتجاره حتى المهن الطبيه لانه في دكاتره لاسف ماعندهم ضمير بذات لو كان عقده راتب زاد نسبه بتلاقيه بيعمل الازم والي مو لازم عشان يزيد العدد ومرات الزياره وطبعا يزيد الفاتوره على العموم مو موضوعنا والله يهدينا ويهديهم واتمنى انه هالنسبه تكون قليله المهم ياغاليه كيف تعرفي انه عصب بسيطه لما يكون عصب بيكون الم كتير وتعرفي كمان من الاشعه مفروضه هي تعمل لك اشعه للضرس وتشوف اذا السوس واصل للعصب او لا ورح اعطيك رابط عن العصب بالتفصيل شوفيه واي سوال تاني تحت امرك ياغاليه




http://forum.hawaaworld.com/showthread.php?t=1309542